Duke Researchers Develop A New Model for Diabetic Retinopathy Screening and Triage
Remote imaging increases early disease identification efforts
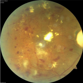
Using a nonmydriatic imaging device to screen patients for diabetic retinopathy (DR) in primary
Eleonora Lad, MD, PhD Inducted Into The Retina Society during 52nd Annual Scientific Meeting
Eleonora Lad, MD, PhD was inducted into the prestigious Retina Society during the invitation-only, 52nd Annual Scientific Meeting held in London, UK September 11 - 15, 2019.
A New Model for Diabetic Retinopathy Screening and Triage
Using a nonmydriatic imaging device to screen patients for diabetic retinopathy (DR) in primary care clinics, Duke researchers found that a remote diagnosis model is as effective a tool as a tradit
Duke Biomedical Engineers Utilize Machine Learning to Improve Medical Scan Imagery
Researchers use computational tools to enhance the resolution of optical coherence tomography, potentially expanding its usefulness beyond the eye.
Duke Researchers Receive Alzheimer’s Drug Discovery Foundation’s Diagnostics Accelerator Program Funding
Duke Eye Center's retina specialists Sharon Fekrat, MD and
Treating IRDs: Gene-Specific and Gene-Independent Approaches
With more than 300 diseasecausing genes mapped and more than 260 cloned,1 the field of inherited retinal diseases (IRDs) has experienced tremendous advances over the past 2 decades.
New OSD Algorithm Targets Preoperative Refractive Surgery Patients
Patients who present for cataract or refractive surgery are often not tested for ocular surface disease (OSD), as many are asymptomatic—especially those with dry-eye disease.
Duke Retina Experts Lead Key Presentations at 2019 ASRS
Duke retina experts were selected to present key research, lead instructional courses and participate on panels at the 2019 American Society of Retina Specialists
Duke Ranked Top 10 Ophthalmology Hospital In US News & World Report Annual Survey
We are proud to announce that Duke Ophthalmology is once again ranked in the top 10 in the 2019-2020 US New